矯正歯科・小児矯正・床矯正
大谷歯科クリニックの矯正治療について
無料で矯正相談を承っています。
大谷歯科クリニックでは、矯正相談(口腔内診査、レントゲン検査、3D画像診断によるシミュレーションなど)を無料で行っています。歯並びや歯の形状などでお悩みの方は、まずはお気軽にご相談下さい。
当歯科医院の矯正治療のご案内(動画)
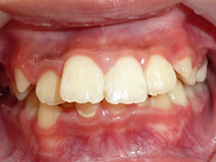
上記症例の説明
治療名:床矯正+ワイヤー矯正治療期間:約10か月 治療費用:440,000円(税別)
治療内容:床矯正装置を使用し、スペース不足の歯列を改善後、ワイヤー矯正装置で整え矯正治療をおこないました。
矯正治療中に生じるリスク・副作用等について:
【床矯正治療中に生じるリスク・副作用】
床矯正装置は取り外しが可能な装置で、歯牙がよく磨けるので、虫歯になるリスクは低いのですが、装置を装着していない場合よりむし歯になるリスクはございます。丁寧なブラッシングを怠らないようにしましょう。また、取り外せるので、本人にやる気が無いと装着時間が短くなり、その結果治療が上手く進まず、治療期間が長期になる場合がございます。
【ワイヤー治療中に生じるリスク・副作用】
ワイヤー治療は3次元的な治療を可能にする装置で装着後1年前後で歯列を揃えることが可能な装置ですが、装着開始から終了までワイヤーを外せないので、歯垢が溜まりやすく、むし歯や歯周病になるリスクが高くなります。また、装着開始時(1週間前後)は食事は可能ですが固いものが食べ辛い等の症状がみられます。
【アレルギー・過敏症について】
床矯正装置・ワイヤー矯正装置共に、金属アレルギーやプラスティックに対して発疹・皮膚炎などの過敏症がある場合、皮膚科等の受診をしていただきパッチテストを行いアレルギー材料を特定する必要がございます。
当歯科医院の矯正治療の特徴
- ①無料で矯正相談を承っています。
矯正相談(口腔内診査、レントゲン検査、3D画像診断によるシミュレーションなど)を無料で行っています。歯並びや歯の形状などでお悩みの方は、まずはお気軽にご相談下さい。
- ②床矯正をおこなっております
床矯正(「しょうきょうせい」と読みます)という取り外しができる矯正装置を使用します。
・取り外せる
・目立たない
・虫歯になりずらい
などのメリットがあります。
- ③自宅でできる床矯正
学校で装着しなくても床矯正が可能です。 - ④永久歯を抜かない矯正
一般的な矯正治療は犬歯(3番目の歯のことです)の後ろを抜いて治療をする場合が多いのですが、当院の治療は歯を抜きませんのでご安心下さい。日本歯科医師会でも「8020運動」という80歳まで20本の歯を残そう、というできるだけ歯を残す運動をおこなっております。 - ⑤矯正担当医は常勤で診療
院長が矯正担当医で、いつも診療をおこなっております。不具合があったときはすぐに対応ができます。
矯正の治療費用・料金価格
| 矯正相談 (口腔内診査、レントゲン検査、3D画像診断など) |
無料 |
|---|---|
| 前歯のみ萌出している場合 | 48~56万円 |
| 犬歯が萌出している場合 | 56~64万円 |
| 難症例(永久歯が不足している場合や歯が捻転している場合) | 64万円 |
| 検査料 | 4,000円 |
※上記は全て税別です
※正確な費用は、お口の状態を拝見させて頂いてからとなります。
1期治療・2期治療で費用は別になるのでしょうか?
別々にいただくことはございません。
また、当院では1期治療・2期治療という区別をしておりません。
歯が綺麗に並ぶまでお付き合いさせていただきます。
また、当院では1期治療・2期治療という区別をしておりません。
歯が綺麗に並ぶまでお付き合いさせていただきます。
▶▶ 矯正のよくあるご質問(FAQ)はこちら
歯科矯正の各症状と治療例
叢生(八重歯)の矯正
「そうせい」 と読みます。顎が小さく歯が大きい場合によくみられます。
当歯科医院では、本来なら抜歯症例のケースでも、歯を抜かない矯正治療をおこなっております。
叢生(八重歯)の矯正治療例①
矯正治療前

矯正治療後

上記症例の説明
治療名:床矯正+ワイヤー矯正治療期間:約1年10か月 治療費用:488,000円(税別)
治療内容:床矯正装置を使用し、スペース不足の歯列を改善後、ワイヤー矯正装置で整え矯正治療をおこないました。
矯正治療中に生じるリスク・副作用等について:
【床矯正治療中に生じるリスク・副作用】
床矯正装置は取り外しが可能な装置で、歯牙がよく磨けるので、虫歯になるリスクは低いのですが、装置を装着していない場合よりむし歯になるリスクはございます。丁寧なブラッシングを怠らないようにしましょう。また、取り外せるので、本人にやる気が無いと装着時間が短くなり、その結果治療が上手く進まず、治療期間が長期になる場合がございます。
【ワイヤー治療中に生じるリスク・副作用】
ワイヤー治療は3次元的な治療を可能にする装置で装着後1年前後で歯列を揃えることが可能な装置ですが、装着開始から終了までワイヤーを外せないので、歯垢が溜まりやすく、むし歯や歯周病になるリスクが高くなります。また、装着開始時(1週間前後)は食事は可能ですが固いものが食べ辛い等の症状がみられます。
【アレルギー・過敏症について】
床矯正装置・ワイヤー矯正装置共に、金属アレルギーやプラスティックに対して発疹・皮膚炎などの過敏症がある場合、皮膚科等の受診をしていただきパッチテストを行いアレルギー材料を特定する必要がございます。
叢生(八重歯)の矯正治療例②
矯正治療前

矯正治療後

上記症例の説明
治療名:床矯正+ワイヤー矯正治療期間:約2年8か月 治療費用:528,000円(税別)
治療内容:床矯正装置を使用し、スペース不足の歯列を改善後、ワイヤー矯正装置で整え矯正治療をおこないました。
矯正治療中に生じるリスク・副作用等について:
【床矯正治療中に生じるリスク・副作用】
床矯正装置は取り外しが可能な装置で、歯牙がよく磨けるので、虫歯になるリスクは低いのですが、装置を装着していない場合よりむし歯になるリスクはございます。丁寧なブラッシングを怠らないようにしましょう。また、取り外せるので、本人にやる気が無いと装着時間が短くなり、その結果治療が上手く進まず、治療期間が長期になる場合がございます。
【ワイヤー治療中に生じるリスク・副作用】
ワイヤー治療は3次元的な治療を可能にする装置で装着後1年前後で歯列を揃えることが可能な装置ですが、装着開始から終了までワイヤーを外せないので、歯垢が溜まりやすく、むし歯や歯周病になるリスクが高くなります。また、装着開始時(1週間前後)は食事は可能ですが固いものが食べ辛い等の症状がみられます。
【アレルギー・過敏症について】
床矯正装置・ワイヤー矯正装置共に、金属アレルギーやプラスティックに対して発疹・皮膚炎などの過敏症がある場合、皮膚科等の受診をしていただきパッチテストを行いアレルギー材料を特定する必要がございます。
▶叢生(八重歯)の症例はこちらへ
上顎前突(出っ歯)の矯正
一般的に、出っ歯と呼ばれており、原因は上顎が過成長している場合や、 下顎が劣成長している場合によくみられます。2番目の写真は下顎前歯が上顎の内側の歯と歯茎の付け根にあたっているので突き上げられてさらに前歯が開いております。
上顎前突(出っ歯)の矯正治療例①
矯正治療前

矯正治療後

上記症例の説明
治療名:床矯正+ワイヤー矯正治療期間:約1年7か月 治療費用:476,000円(税別)
治療内容:床矯正装置を使用し、スペース不足の歯列を改善後、ワイヤー矯正装置で整え矯正治療をおこないました。
矯正治療中に生じるリスク・副作用等について:
【床矯正治療中に生じるリスク・副作用】
床矯正装置は取り外しが可能な装置で、歯牙がよく磨けるので、虫歯になるリスクは低いのですが、装置を装着していない場合よりむし歯になるリスクはございます。丁寧なブラッシングを怠らないようにしましょう。また、取り外せるので、本人にやる気が無いと装着時間が短くなり、その結果治療が上手く進まず、治療期間が長期になる場合がございます。
【ワイヤー治療中に生じるリスク・副作用】
ワイヤー治療は3次元的な治療を可能にする装置で装着後1年前後で歯列を揃えることが可能な装置ですが、装着開始から終了までワイヤーを外せないので、歯垢が溜まりやすく、むし歯や歯周病になるリスクが高くなります。また、装着開始時(1週間前後)は食事は可能ですが固いものが食べ辛い等の症状がみられます。
【アレルギー・過敏症について】
床矯正装置・ワイヤー矯正装置共に、金属アレルギーやプラスティックに対して発疹・皮膚炎などの過敏症がある場合、皮膚科等の受診をしていただきパッチテストを行いアレルギー材料を特定する必要がございます。
上顎前突(出っ歯)の矯正治療例②
矯正治療前

矯正治療後

上記症例の説明
治療名:床矯正+ワイヤー矯正治療期間:約2年2か月 治療費用:504,000円(税別)
治療内容:床矯正装置を使用し、スペース不足の歯列を改善後、ワイヤー矯正装置で整え矯正治療をおこないました。
矯正治療中に生じるリスク・副作用等について:
【床矯正治療中に生じるリスク・副作用】
床矯正装置は取り外しが可能な装置で、歯牙がよく磨けるので、虫歯になるリスクは低いのですが、装置を装着していない場合よりむし歯になるリスクはございます。丁寧なブラッシングを怠らないようにしましょう。また、取り外せるので、本人にやる気が無いと装着時間が短くなり、その結果治療が上手く進まず、治療期間が長期になる場合がございます。
【ワイヤー治療中に生じるリスク・副作用】
ワイヤー治療は3次元的な治療を可能にする装置で装着後1年前後で歯列を揃えることが可能な装置ですが、装着開始から終了までワイヤーを外せないので、歯垢が溜まりやすく、むし歯や歯周病になるリスクが高くなります。また、装着開始時(1週間前後)は食事は可能ですが固いものが食べ辛い等の症状がみられます。
【アレルギー・過敏症について】
床矯正装置・ワイヤー矯正装置共に、金属アレルギーやプラスティックに対して発疹・皮膚炎などの過敏症がある場合、皮膚科等の受診をしていただきパッチテストを行いアレルギー材料を特定する必要がございます。
▶上顎前突(出っ歯)の症例はこちらへ
下顎前突(受け口)の矯正
遺伝的な要因、下顎の過成長や、舌や唇の悪習癖によりおきる場合が多く、成長期の最後に下顎の成長がみられ悪化する場合が多いので、早期治療が望まれます。当歯科医院の研究では、反対咬合の治療は、4歳前後で開始すると治療効果が高いことがわかっております。
下顎前突(受け口)の矯正治療例①
矯正治療前

矯正治療後

上記症例の説明
治療名:床矯正治療期間:約6週間 治療費用:92,000円(税別)
治療内容:床矯正装置を使用し、スペース不足の歯列を整え矯正治療をおこないました。
矯正治療中に生じるリスク・副作用等について:
【床矯正治療中に生じるリスク・副作用】
床矯正装置は取り外しが可能な装置で、歯牙がよく磨けるので、虫歯になるリスクは低いのですが、装置を装着していない場合よりむし歯になるリスクはございます。丁寧なブラッシングを怠らないようにしましょう。また、取り外せるので、本人にやる気が無いと装着時間が短くなり、その結果治療が上手く進まず、治療期間が長期になる場合がございます。
【アレルギー・過敏症について】
床矯正装置は金属アレルギーやプラスティックに対して発疹・皮膚炎などの過敏症がある場合、皮膚科等の受診をしていただきパッチテストを行いアレルギー材料を特定する必要がございます。
下顎前突(受け口)の矯正治療例②
矯正治療前

矯正治療後

上記症例の説明
治療名:床矯正+ワイヤー矯正治療期間:約2年8か月 治療費用:528,000円(税別)
治療内容:床矯正装置を使用し、スペース不足の歯列を改善後、ワイヤー矯正装置で整え矯正治療をおこないました。
矯正治療中に生じるリスク・副作用等について:
【床矯正治療中に生じるリスク・副作用】
床矯正装置は取り外しが可能な装置で、歯牙がよく磨けるので、虫歯になるリスクは低いのですが、装置を装着していない場合よりむし歯になるリスクはございます。丁寧なブラッシングを怠らないようにしましょう。また、取り外せるので、本人にやる気が無いと装着時間が短くなり、その結果治療が上手く進まず、治療期間が長期になる場合がございます。
【ワイヤー治療中に生じるリスク・副作用】
ワイヤー治療は3次元的な治療を可能にする装置で装着後1年前後で歯列を揃えることが可能な装置ですが、装着開始から終了までワイヤーを外せないので、歯垢が溜まりやすく、むし歯や歯周病になるリスクが高くなります。また、装着開始時(1週間前後)は食事は可能ですが固いものが食べ辛い等の症状がみられます。
【アレルギー・過敏症について】
床矯正装置・ワイヤー矯正装置共に、金属アレルギーやプラスティックに対して発疹・皮膚炎などの過敏症がある場合、皮膚科等の受診をしていただきパッチテストを行いアレルギー材料を特定する必要がございます。
▶下顎前突(受け口)の症例はこちらへ
矯正の治療費用について
矯正の治療費用・料金価格
| 矯正相談 (口腔内診査、レントゲン検査、3D画像診断など) |
無料 |
|---|---|
| 前歯のみ萌出している場合 | 48~56万円 |
| 犬歯が萌出している場合 | 56~64万円 |
| 難症例(永久歯が不足している場合や歯が捻転している場合) | 64万円 |
| 検査料 | 4,000円 |
※上記は全て税別です
※正確な費用は、お口の状態を拝見させて頂いてからとなります。
1期治療・2期治療で費用は別になるのでしょうか?
別々にいただくことはございません。
また、当院では1期治療・2期治療という区別をしておりません。
歯が綺麗に並ぶまでお付き合いさせていただきます。
また、当院では1期治療・2期治療という区別をしておりません。
歯が綺麗に並ぶまでお付き合いさせていただきます。
矯正のご相談やご質問について
▶▶ 矯正のよくあるご質問(FAQ)はこちら





