上顎前突(出っ歯)の症例
上顎前突(出っ歯)の矯正治療例
上顎前突(出っ歯)の矯正
一般的に、出っ歯と呼ばれており、原因は上顎が過成長している場合や、下顎が劣成長している場合によくみられます。上顎前突(出っ歯)
矯正治療前

矯正治療後

上記症例の説明
治療名:床矯正+ワイヤー矯正治療期間:約1年8か月 治療費用:480,000円(税別)
治療内容:床矯正装置を使用し、スペース不足の歯列を改善後、ワイヤー矯正装置で整え矯正治療をおこないました。
矯正治療中に生じるリスク・副作用等について:
【床矯正治療中に生じるリスク・副作用】
床矯正装置は取り外しが可能な装置で、歯牙がよく磨けるので、虫歯になるリスクは低いのですが、装置を装着していない場合よりむし歯になるリスクはございます。丁寧なブラッシングを怠らないようにしましょう。また、取り外せるので、本人にやる気が無いと装着時間が短くなり、その結果治療が上手く進まず、治療期間が長期になる場合がございます。
【ワイヤー治療中に生じるリスク・副作用】
ワイヤー治療は3次元的な治療を可能にする装置で装着後1年前後で歯列を揃えることが可能な装置ですが、装着開始から終了までワイヤーを外せないので、歯垢が溜まりやすく、むし歯や歯周病になるリスクが高くなります。また、装着開始時(1週間前後)は食事は可能ですが固いものが食べ辛い等の症状がみられます。
【アレルギー・過敏症について】
床矯正装置・ワイヤー矯正装置共に、金属アレルギーやプラスティックに対して発疹・皮膚炎などの過敏症がある場合、皮膚科等の受診をしていただきパッチテストを行いアレルギー材料を特定する必要がございます。
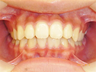
上顎前突(出っ歯)
矯正治療前

矯正治療後

上記症例の説明
治療名:床矯正+ワイヤー矯正治療期間:約1年10か月 治療費用:488,000円(税別)
治療内容:床矯正装置を使用し、スペース不足の歯列を改善後、ワイヤー矯正装置で整え矯正治療をおこないました。
矯正治療中に生じるリスク・副作用等について:
【床矯正治療中に生じるリスク・副作用】
床矯正装置は取り外しが可能な装置で、歯牙がよく磨けるので、虫歯になるリスクは低いのですが、装置を装着していない場合よりむし歯になるリスクはございます。丁寧なブラッシングを怠らないようにしましょう。また、取り外せるので、本人にやる気が無いと装着時間が短くなり、その結果治療が上手く進まず、治療期間が長期になる場合がございます。
【ワイヤー治療中に生じるリスク・副作用】
ワイヤー治療は3次元的な治療を可能にする装置で装着後1年前後で歯列を揃えることが可能な装置ですが、装着開始から終了までワイヤーを外せないので、歯垢が溜まりやすく、むし歯や歯周病になるリスクが高くなります。また、装着開始時(1週間前後)は食事は可能ですが固いものが食べ辛い等の症状がみられます。
【アレルギー・過敏症について】
床矯正装置・ワイヤー矯正装置共に、金属アレルギーやプラスティックに対して発疹・皮膚炎などの過敏症がある場合、皮膚科等の受診をしていただきパッチテストを行いアレルギー材料を特定する必要がございます。
上顎前突(出っ歯)
矯正治療前

矯正治療後

上記症例の説明
治療名:床矯正+ワイヤー矯正治療期間:約1年11か月 治療費用:492,000円(税別)
治療内容:床矯正装置を使用し、スペース不足の歯列を改善後、ワイヤー矯正装置で整え矯正治療をおこないました。
矯正治療中に生じるリスク・副作用等について:
【床矯正治療中に生じるリスク・副作用】
床矯正装置は取り外しが可能な装置で、歯牙がよく磨けるので、虫歯になるリスクは低いのですが、装置を装着していない場合よりむし歯になるリスクはございます。丁寧なブラッシングを怠らないようにしましょう。また、取り外せるので、本人にやる気が無いと装着時間が短くなり、その結果治療が上手く進まず、治療期間が長期になる場合がございます。
【ワイヤー治療中に生じるリスク・副作用】
ワイヤー治療は3次元的な治療を可能にする装置で装着後1年前後で歯列を揃えることが可能な装置ですが、装着開始から終了までワイヤーを外せないので、歯垢が溜まりやすく、むし歯や歯周病になるリスクが高くなります。また、装着開始時(1週間前後)は食事は可能ですが固いものが食べ辛い等の症状がみられます。
【アレルギー・過敏症について】
床矯正装置・ワイヤー矯正装置共に、金属アレルギーやプラスティックに対して発疹・皮膚炎などの過敏症がある場合、皮膚科等の受診をしていただきパッチテストを行いアレルギー材料を特定する必要がございます。
上顎前突(出っ歯)
矯正治療前

矯正治療後

上記症例の説明
治療名:床矯正+ワイヤー矯正治療期間:約2年2か月 治療費用:584,000円(税別)
治療内容:床矯正装置を使用し、スペース不足の歯列を改善後、ワイヤー矯正装置で整え矯正治療をおこないました。
矯正治療中に生じるリスク・副作用等について:
【床矯正治療中に生じるリスク・副作用】
床矯正装置は取り外しが可能な装置で、歯牙がよく磨けるので、虫歯になるリスクは低いのですが、装置を装着していない場合よりむし歯になるリスクはございます。丁寧なブラッシングを怠らないようにしましょう。また、取り外せるので、本人にやる気が無いと装着時間が短くなり、その結果治療が上手く進まず、治療期間が長期になる場合がございます。
【ワイヤー治療中に生じるリスク・副作用】
ワイヤー治療は3次元的な治療を可能にする装置で装着後1年前後で歯列を揃えることが可能な装置ですが、装着開始から終了までワイヤーを外せないので、歯垢が溜まりやすく、むし歯や歯周病になるリスクが高くなります。また、装着開始時(1週間前後)は食事は可能ですが固いものが食べ辛い等の症状がみられます。
【アレルギー・過敏症について】
床矯正装置・ワイヤー矯正装置共に、金属アレルギーやプラスティックに対して発疹・皮膚炎などの過敏症がある場合、皮膚科等の受診をしていただきパッチテストを行いアレルギー材料を特定する必要がございます。
上顎前突(出っ歯)
矯正治療前

矯正治療後

上記症例の説明
治療名:床矯正+ワイヤー矯正治療期間:約2年3か月 治療費用:588,000円(税別)
治療内容:床矯正装置を使用し、スペース不足の歯列を改善後、ワイヤー矯正装置で整え矯正治療をおこないました。
矯正治療中に生じるリスク・副作用等について:
【床矯正治療中に生じるリスク・副作用】
床矯正装置は取り外しが可能な装置で、歯牙がよく磨けるので、虫歯になるリスクは低いのですが、装置を装着していない場合よりむし歯になるリスクはございます。丁寧なブラッシングを怠らないようにしましょう。また、取り外せるので、本人にやる気が無いと装着時間が短くなり、その結果治療が上手く進まず、治療期間が長期になる場合がございます。
【ワイヤー治療中に生じるリスク・副作用】
ワイヤー治療は3次元的な治療を可能にする装置で装着後1年前後で歯列を揃えることが可能な装置ですが、装着開始から終了までワイヤーを外せないので、歯垢が溜まりやすく、むし歯や歯周病になるリスクが高くなります。また、装着開始時(1週間前後)は食事は可能ですが固いものが食べ辛い等の症状がみられます。
【アレルギー・過敏症について】
床矯正装置・ワイヤー矯正装置共に、金属アレルギーやプラスティックに対して発疹・皮膚炎などの過敏症がある場合、皮膚科等の受診をしていただきパッチテストを行いアレルギー材料を特定する必要がございます。
上顎前突(出っ歯)
矯正治療前

矯正治療後

上記症例の説明
治療名:床矯正+ワイヤー矯正治療期間:約2年7か月 治療費用:524,000円(税別)
治療内容:床矯正装置を使用し、スペース不足の歯列を改善後、ワイヤー矯正装置で整え矯正治療をおこないました。
矯正治療中に生じるリスク・副作用等について:
【床矯正治療中に生じるリスク・副作用】
床矯正装置は取り外しが可能な装置で、歯牙がよく磨けるので、虫歯になるリスクは低いのですが、装置を装着していない場合よりむし歯になるリスクはございます。丁寧なブラッシングを怠らないようにしましょう。また、取り外せるので、本人にやる気が無いと装着時間が短くなり、その結果治療が上手く進まず、治療期間が長期になる場合がございます。
【ワイヤー治療中に生じるリスク・副作用】
ワイヤー治療は3次元的な治療を可能にする装置で装着後1年前後で歯列を揃えることが可能な装置ですが、装着開始から終了までワイヤーを外せないので、歯垢が溜まりやすく、むし歯や歯周病になるリスクが高くなります。また、装着開始時(1週間前後)は食事は可能ですが固いものが食べ辛い等の症状がみられます。
【アレルギー・過敏症について】
床矯正装置・ワイヤー矯正装置共に、金属アレルギーやプラスティックに対して発疹・皮膚炎などの過敏症がある場合、皮膚科等の受診をしていただきパッチテストを行いアレルギー材料を特定する必要がございます。
上顎前突(出っ歯)
矯正治療前

矯正治療後

上記症例の説明
治療名:床矯正+ワイヤー矯正治療期間:約3年3か月 治療費用:636,000円(税別)
治療内容:床矯正装置を使用し、スペース不足の歯列を改善後、ワイヤー矯正装置で整え矯正治療をおこないました。
矯正治療中に生じるリスク・副作用等について:
【床矯正治療中に生じるリスク・副作用】
床矯正装置は取り外しが可能な装置で、歯牙がよく磨けるので、虫歯になるリスクは低いのですが、装置を装着していない場合よりむし歯になるリスクはございます。丁寧なブラッシングを怠らないようにしましょう。また、取り外せるので、本人にやる気が無いと装着時間が短くなり、その結果治療が上手く進まず、治療期間が長期になる場合がございます。
【ワイヤー治療中に生じるリスク・副作用】
ワイヤー治療は3次元的な治療を可能にする装置で装着後1年前後で歯列を揃えることが可能な装置ですが、装着開始から終了までワイヤーを外せないので、歯垢が溜まりやすく、むし歯や歯周病になるリスクが高くなります。また、装着開始時(1週間前後)は食事は可能ですが固いものが食べ辛い等の症状がみられます。
【アレルギー・過敏症について】
床矯正装置・ワイヤー矯正装置共に、金属アレルギーやプラスティックに対して発疹・皮膚炎などの過敏症がある場合、皮膚科等の受診をしていただきパッチテストを行いアレルギー材料を特定する必要がございます。
上顎前突(出っ歯)
矯正治療前

矯正治療後

上記症例の説明
治療名:床矯正+ワイヤー矯正治療期間:約3年5か月 治療費用:644,000円(税別)
治療内容:床矯正装置を使用し、スペース不足の歯列を改善後、ワイヤー矯正装置で整え矯正治療をおこないました。
矯正治療中に生じるリスク・副作用等について:
【床矯正治療中に生じるリスク・副作用】
床矯正装置は取り外しが可能な装置で、歯牙がよく磨けるので、虫歯になるリスクは低いのですが、装置を装着していない場合よりむし歯になるリスクはございます。丁寧なブラッシングを怠らないようにしましょう。また、取り外せるので、本人にやる気が無いと装着時間が短くなり、その結果治療が上手く進まず、治療期間が長期になる場合がございます。
【ワイヤー治療中に生じるリスク・副作用】
ワイヤー治療は3次元的な治療を可能にする装置で装着後1年前後で歯列を揃えることが可能な装置ですが、装着開始から終了までワイヤーを外せないので、歯垢が溜まりやすく、むし歯や歯周病になるリスクが高くなります。また、装着開始時(1週間前後)は食事は可能ですが固いものが食べ辛い等の症状がみられます。
【アレルギー・過敏症について】
床矯正装置・ワイヤー矯正装置共に、金属アレルギーやプラスティックに対して発疹・皮膚炎などの過敏症がある場合、皮膚科等の受診をしていただきパッチテストを行いアレルギー材料を特定する必要がございます。
上顎前突(出っ歯)
矯正治療前

矯正治療後

上記症例の説明
治療名:床矯正+ワイヤー矯正治療期間:約3年9か月 治療費用:660,000円(税別)
治療内容:床矯正装置を使用し、スペース不足の歯列を改善後、ワイヤー矯正装置で整え矯正治療をおこないました。
矯正治療中に生じるリスク・副作用等について:
【床矯正治療中に生じるリスク・副作用】
床矯正装置は取り外しが可能な装置で、歯牙がよく磨けるので、虫歯になるリスクは低いのですが、装置を装着していない場合よりむし歯になるリスクはございます。丁寧なブラッシングを怠らないようにしましょう。また、取り外せるので、本人にやる気が無いと装着時間が短くなり、その結果治療が上手く進まず、治療期間が長期になる場合がございます。
【ワイヤー治療中に生じるリスク・副作用】
ワイヤー治療は3次元的な治療を可能にする装置で装着後1年前後で歯列を揃えることが可能な装置ですが、装着開始から終了までワイヤーを外せないので、歯垢が溜まりやすく、むし歯や歯周病になるリスクが高くなります。また、装着開始時(1週間前後)は食事は可能ですが固いものが食べ辛い等の症状がみられます。
【アレルギー・過敏症について】
床矯正装置・ワイヤー矯正装置共に、金属アレルギーやプラスティックに対して発疹・皮膚炎などの過敏症がある場合、皮膚科等の受診をしていただきパッチテストを行いアレルギー材料を特定する必要がございます。
矯正のご相談やご質問について
▶▶矯正のよくあるご質問(FAQ)はこちら





